Лікування зубів на дому: комфорт та якість без візиту до клініки
- 5 груд. 2024 р.
- Читати 2 хв
Оновлено: 23 груд. 2024 р.
Лікування зубів вдома – це послуга, яка дозволяє отримати професійну стоматологічну допомогу у комфортній обстановці.
ПРАЦЮЄМО НАВІТЬ ПРИ ВІДСУТНІ СВІТЛА. Незалежно від складності випадку, ми забезпечуємо високоякісне лікування завдяки сучасному обладнанню та досвіду.
У статті розповім, як відбувається лікування зубів вдома, яке обладнання використовується і чому варто вибрати саме нас.
Переваги послуги "лікування зубів вдома"
Комфорт та економія часу.
Пацієнтам не потрібно витрачати час на дорогу та очікування у клініці. Усі процедури проводяться у звичній домашній обстановці.
Індивідуальний підхід
Лікування зубів вдома дозволяє приділити максимальну увагу кожному пацієнту без поспіху
Сучасні технології.
Обладнання, що використовується, забезпечує високий рівень діагностики та лікування.
Безпека. Дотримуються всіх санітарних норм, а інструменти проходять ретельну стерилізацію.
Наші роботи "лікування зубів вдома"
Етапи лікування зубів вдома
Первинна консультація та діагностика.
При першому візиті проводиться ретельний огляд ротової порожнини, робляться рентгенівські знімки при необхідності і складається індивідуальний план лікування.
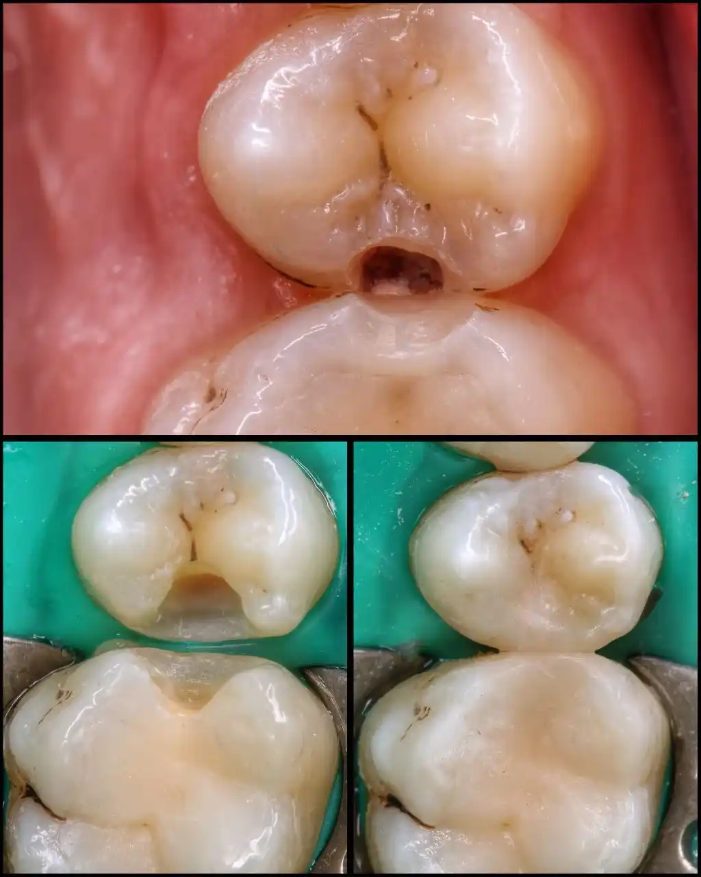
Лікування карієсу вдома.
Лікування зубів вдома при карієсі включає видалення пошкоджених тканин та встановлення фотополімерних пломб з ізоляцією зубів системою кофердам. Сучасні матеріали та портативне обладнання гарантують високу якість реставрації та довговічність результату. Усі процедури проходять із дотриманням суворих санітарних норм.
Матеріали, які ми використовуємо для лікування зубів вдома:
1) фотополімери Gradia (Японія) , Estelite sigma quick, Estelite Universal Flow (Японія) , Venus ( Німеччина )
2) адгезивна система Optibond FL, Kerr (золотий стандарт у стоматології) (США), а також Prime&Bond Universal компанії Dentsply Sirona ( США )
Лікування зубних каналів вдома
Для лікування каналів використовуються портативні ендодонтичні апарати, які дозволяють провести повне очищення та пломбування кореневих каналів. Цифрові інструменти (АПЕКСЛОКАТОР, ПОРТАТИВНИЙ РЕНТГЕН) допомагають контролювати точність обробки кожному етапі. Для пломбування каналів використовується сучасна система гарячої подачі гутаперчі
Рекомендації та профілактика Після завершення процедур пацієнт отримує індивідуальні рекомендації щодо догляду за порожниною рота. Ми також пропонуємо регулярні профілактичні огляди для підтримки здоров'я зубів.
Обладнання для лікування зубів на дому
Лікування зубів вдома проводиться з використанням мобільного стоматологічного обладнання, що включає:
Переносну стоматологічну установку з високошвидкісними та низькошвидкісними наконечниками, а також системою відсмоктування слини
Цифровий рентген для точної діагностики
Ультразвуковий скейлер для професійного чищення зубів.

Апарат для пломбування каналів із системою контролю довжини кореневих каналів.

Світлополімерну лампу для встановлення довговічних пломб.
Чому варто звернутись до нас?
Ми пропонуємо лікування зубів на дому з гарантією якості та комфорту. Ми працюємо навіть при ВІДСУТНІ СВІТЛА , тому що маємо альтернативні джерела енергії. Наш досвід дозволяє вирішувати найскладніші стоматологічні проблеми без відвідин клініки. Ми дбаємо про ваше здоров'я та час, надаючи професійну допомогу у зручному для вас місці.
Звернувшись до нас, ви отримуєте індивідуальний підхід, високотехнологічне обладнання та комфортне лікування. Приїдемо у зручний вам день та час доби!
Телефонуйте нам для запису 0937579270





















